家住崇左市大新县的方叔叔今年67岁,平时身体健康,但今年2月17日早晨7时许,老伴发现他说不出话、双眼向右侧注视、右侧手脚完全瘫痪。据家属回忆,方叔叔于当日凌晨2时许起床如厕时,行动如常,未见异常。因此,其发病时间可能在凌晨2时至7时40分之间。
老伴立即叫上家人,并打120送方叔叔至大新县人民医院救治。经紧急CT检查,医生考虑为急性脑梗死,高度怀疑存在脑部大血管闭塞。由于当地医疗条件有限,正在该院下乡支援的广西民族医院神经内科三区梁捷凤医生迅速通过医联体转诊机制协调病人上转,同时传送病历资料,并第一时间上报广西民族医院卒中中心执行总监胡瑞婷主任。
当天负责收治急诊病人的神经内科三区卒中中心团队接收到信息后,初步判断方叔叔很可能需要急诊介入取栓治疗,随即启动急性脑梗死绿色通道预案,联系放射科、导管室同时准备。

急诊多模态头颈CTA+CTP检查
诊断与关键评估——寻找“可挽救的脑组织”
中午12时,患者被护送至广西民族医院神经内科三区。值班医生吕宗夏立即接诊并进行神经功能评估,结果显示NIHSS评分13分,存在严重神经功能障碍。由于患者是睡眠中发生的脑梗死,具体发病时间不明,属于典型的“醒后卒中”,团队首先需要明确两个核心问题:一是哪根血管堵了?二是大脑的真实损伤情况如何?
患者随即被送至CT室进行急诊多模式影像(CT血管成像)+CTP(CT灌注成像)检查,CTA+CTP检查提示:左侧大脑中动脉M2段闭塞;核心梗死区(已梗死的脑组织)范围较小,体积仅2.6ml,但缺血半暗带(缺血但仍可挽救的脑组织)体积高达178.2ml。不匹配比值高达69.5,属于显著的“大半暗带、小梗死核心”模式,意味着仍有大量脑细胞可以挽救!

头颈CTA提示左侧大脑中动脉M2段闭塞

CTP灌注成像:红色区域梗死核心,绿色区域为缺血半暗带
治疗决策与实施——遵循指南,突破“时间窗”
经过广西民族医院卒中中心介入团队充分的手术讨论评估,考虑大脑中动脉分支M2段血管闭塞的介入取栓治疗有较高脑出血的风险,且获益不明确,但若选择保守治疗又面临着严重致残、病情加重等不良结局。
面对“发病时间不明”这一困境,治疗团队并未拘泥于传统的“时钟时间”,而是依据最新的循证医学指南,将评估焦点转向“组织窗”——即大脑是否存在足够的、可挽救的缺血半暗带。
经胡瑞婷主任团队综合评估,并与家属充分沟通后决定:尽管患者发病时间已超传统4.5小时静脉溶栓时间窗,但基于“组织窗”评估结果,患者仍存在溶栓适应症,可立即行阿替普酶静脉溶栓治疗。
溶栓结束后,患者的神经功能评分明显改善,NIHSS评分由13分降至8分。查体可见双眼活动自如,左侧手脚肌力好转,可抬离床面;但言语功能仍恢复不明显。尽管如此,家人已经深受鼓舞,对后续治疗充满了信心。
经过后续使用药物、康复等综合治疗后,患者病情稳定好转,肢体力量与语言功能得到有效恢复,住院治疗2周后,患者可搀扶缓慢行走,右上肢功能需要进一步训练。目前患者神经系统功能NIHSS评分已下降至5分。

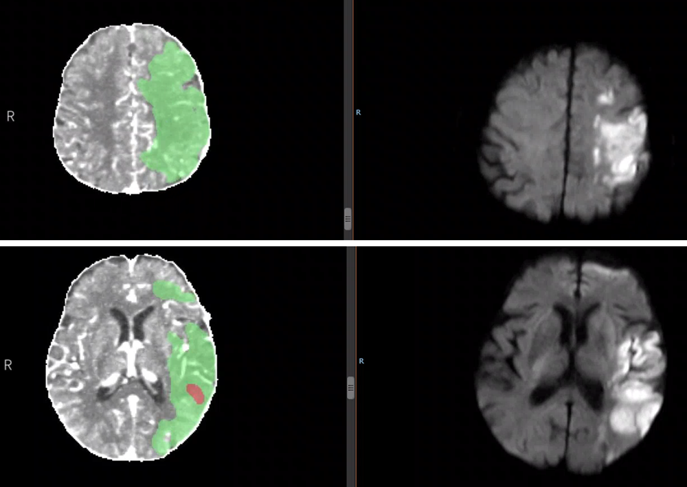
左侧:溶栓前CTP灌注成像显示梗死核心(红色)与缺血半暗带(绿色)
右侧:溶栓后磁共振DWI显示最终梗死范围(高亮区)
胡瑞婷主任表示:“醒后卒中”必须紧急就医,一旦发现家人睡醒后出现口齿不清、肢体无力、口角歪斜等卒中症状,应立即拨打120,送往具备卒中救治能力的医院,医联体之间的高效转运与衔接发挥了重要作用。勿因“超时”而自行放弃:发病时间不明确,不等于失去了所有治疗机会。现代卒中救治的关键已从单一的“时间窗”发展为更精准的“组织窗”评估。
时间窗的扩展:对于急性脑梗死患者,若已超过传统4.5小时静脉溶栓时间窗,不代表治疗终结,应尽快进行多模式影像评估(尤其是CTP或灌注MRI),明确是否还存在尚能挽救的脑组织。
严格筛选下的治疗机会:若评估符合特定标准,即使到院时间已超出传统的治疗时间窗,患者仍可能从静脉溶栓中获益。治疗决策应从“时间窗”转向“组织窗”,核心在于通过影像准确识别“梗死核心”与“缺血半暗带”。
本例醒后卒中患者的成功救治,清晰地展示了广西民族医院卒中中心遵循最新治疗指南、利用先进影像技术进行精准评估,从而为超时间窗患者争取宝贵治疗机会的完整路径,值得推广与借鉴。在急性脑梗死救治中,对于发病时间不确定的“超传统溶栓时间窗”患者,在多模态影像识别梗死核心与缺血半暗带不匹配时,仍有溶栓机会,需要科学的评估。(文/图:神经内科三区吕宗夏)